Votre orthodontiste à Casablanca
Retrouvez un sourire parfaitement aligné grâce à notre équipe d'orthodontistes à Casablanca. Bagues classiques, bagues céramiques ou aligneurs invisibles : nous proposons la solution la plus adaptée à votre situation, pour les adultes comme pour les enfants.
Demander un rendez-vous
Pourquoi consulter notre orthodontiste à Casablanca
Alignement sur mesure
Un plan de traitement personnalisé pour chaque patient, adapté à votre morphologie dentaire et à vos objectifs.
Techniques modernes
Bagues classiques, bagues céramiques et aligneurs transparents pour un traitement adapté à votre mode de vie.
Suivi régulier
Des rendez-vous de contrôle réguliers pour ajuster votre traitement et garantir un résultat optimal.
Expertise confirmée
Une équipe spécialisée en orthodontie avec une expérience confirmée auprès des adultes et des enfants.

Comment se déroule un traitement orthodontique
Consultation et diagnostic
Votre orthodontiste réalise un bilan complet avec radiographies, photos et empreintes pour évaluer votre situation et définir le plan de traitement.
Plan de traitement personnalisé
Un plan détaillé est élaboré avec le choix de la technique la plus adaptée (bagues métalliques, céramiques ou aligneurs invisibles) et la durée estimée.
Pose de l'appareil
L'appareil orthodontique est posé avec précision. Votre orthodontiste vous explique les consignes d'hygiène et d'entretien à suivre.
Suivi et contention
Des visites régulières permettent d'ajuster le traitement. À la fin, un appareil de contention maintient le résultat pour un alignement durable.
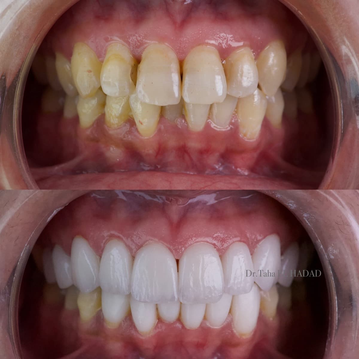
Résultats de nos traitements orthodontiques
Découvrez les transformations réalisées par notre équipe d'orthodontistes. Chaque traitement est conçu sur mesure pour un alignement parfait et durable.



« Je suis en cours de traitement orthodontique à Master Smile Center, pris en charge par Dr ZINEB SIFEDDINE, qui est à la fois professionnelle,compétente et à l'écoute de ses patients. Son approche qui se veut rassurante et son souci du détail et de perfection m'ont vraiment mis en confiance dès le premier rdv. Le suivi, tout au long du traitement, est irréprochable et les résultats sont au-delà de mes attentes ( retrouver le sourire en moins de trois mois c'était vraiment miraculeux). Le Dr TAHA El HADAD passe chez nous souvent s'enquérir de l'avancée du traitement avec professionnalisme. L'équipe est tjrs accueillante, attentionnée et bienveillante ce qui rend chaque visite agréable et professionnelle. Je recommande vivement. »
« After 3 failed dental retainers with multiple dentist, i was finally able to get it fixed from the get-go. I would rate 6 stars if i could PS: they play really nice music in there »
« Un grand merci à dr taha el hadad pour son excellent travail et surtout pour la passion et l'amour qu'il met dans ce qu'il fait. On se sent vraiment entre de bonnes mains. Un grand merci également à toute l'équipe, toujours accueillante, bienveillante et souriante, qui rend chaque expérience beaucoup plus agréable et beaucoup moins stressante. »
« Je suis en cours de traitement orthodontique à Master Smile Center, pris en charge par Dr ZINEB SIFEDDINE, qui est à la fois professionnelle,compétente et à l'écoute de ses patients. Son approche qui se veut rassurante et son souci du détail et de perfection m'ont vraiment mis en confiance dès le premier rdv. Le suivi, tout au long du traitement, est irréprochable et les résultats sont au-delà de mes attentes ( retrouver le sourire en moins de trois mois c'était vraiment miraculeux). Le Dr TAHA El HADAD passe chez nous souvent s'enquérir de l'avancée du traitement avec professionnalisme. L'équipe est tjrs accueillante, attentionnée et bienveillante ce qui rend chaque visite agréable et professionnelle. Je recommande vivement. »
Prenez rendez-vous chez votre orthodontiste à Casablanca
Remplissez le formulaire ci-contre et notre équipe vous recontactera dans les plus brefs délais pour planifier votre consultation en orthodontie.
Demander un rendez-vous
Questions fréquentes sur l'orthodontie à Casablanca
Il est recommandé de consulter un orthodontiste dès l'âge de 7 ans pour un premier bilan. Cependant, l'orthodontie s'adresse à tous les âges : enfants, adolescents et adultes peuvent bénéficier d'un traitement adapté.
La durée varie selon la complexité du cas, généralement entre 12 et 24 mois. Votre orthodontiste vous donne une estimation précise lors de la consultation initiale.
Les bagues (métalliques ou céramiques) sont fixées sur les dents et corrigent tous types de malocclusions. Les aligneurs invisibles sont des gouttières transparentes amovibles, plus discrètes, adaptées aux cas légers à modérés.
Une légère sensibilité est normale les premiers jours après la pose ou chaque ajustement. Cette gêne est temporaire et s'atténue rapidement. Votre orthodontiste vous conseille sur les moyens de la soulager.
Un brossage minutieux après chaque repas est essentiel. Pour les bagues, l'utilisation de brossettes interdentaires est recommandée. Les aligneurs doivent être nettoyés quotidiennement et retirés pendant les repas.
Absolument. De plus en plus d'adultes ont recours à l'orthodontie. Les aligneurs invisibles et les bagues céramiques offrent des solutions discrètes parfaitement adaptées à la vie professionnelle.