Chirurgie dentaire à Casablanca
Notre équipe de chirurgiens-dentistes à Casablanca réalise l'ensemble des interventions chirurgicales bucco-dentaires avec sécurité et précision. Extractions, greffes osseuses, chirurgie pré-implantaire : chaque acte est planifié et réalisé dans les meilleures conditions.
Demander un rendez-vous
Pourquoi choisir notre clinique pour votre chirurgie dentaire à Casablanca
Interventions maîtrisées
Des chirurgiens-dentistes expérimentés pour des interventions réalisées avec précision, sous anesthésie locale, dans le respect des protocoles de sécurité.
Sécurité maximale
Un bloc opératoire aux normes d'hygiène strictes et du matériel stérilisé pour chaque intervention, garantissant votre sécurité.
Accompagnement complet
De la consultation pré-opératoire au suivi post-chirurgical, notre équipe vous accompagne à chaque étape pour une guérison optimale.
Technologies avancées
Imagerie 3D, chirurgie guidée et instruments de précision pour des interventions moins invasives et une récupération plus rapide.

Comment se déroule une chirurgie dentaire
Consultation pré-chirurgicale
Un examen clinique et radiographique complet permet d'évaluer la situation et de planifier l'intervention en détail.
Préparation et anesthésie
L'intervention se déroule sous anesthésie locale. Le chirurgien-dentiste vous explique chaque étape pour vous mettre en confiance.
Intervention chirurgicale
L'acte chirurgical est réalisé avec précision et minutie, en utilisant les techniques les moins invasives possibles pour favoriser la cicatrisation.
Suivi post-opératoire
Des consignes post-opératoires détaillées vous sont remises. Un rendez-vous de contrôle est fixé pour vérifier la bonne cicatrisation.
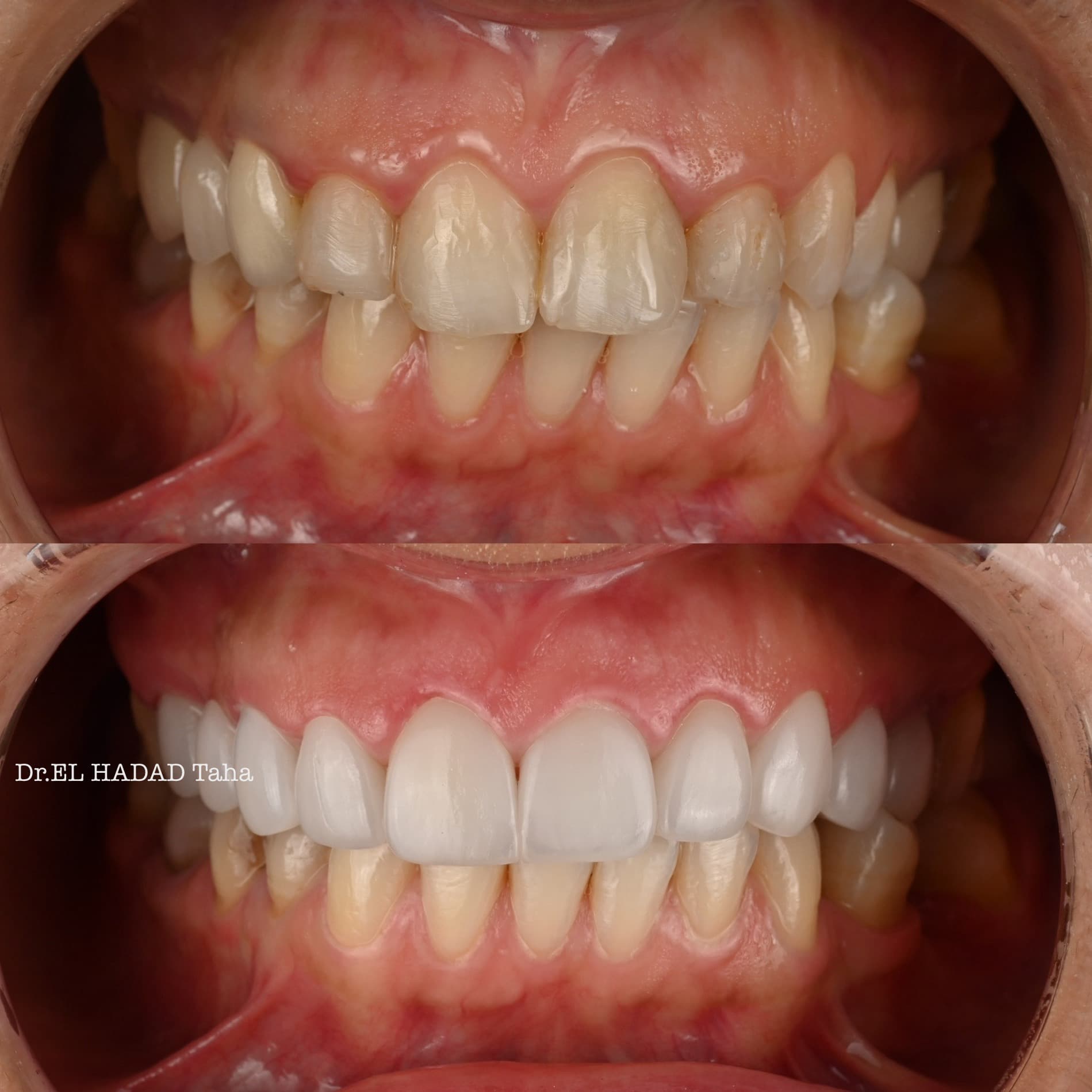
Résultats de nos interventions chirurgicales
Nos patients bénéficient d'interventions réalisées dans les meilleures conditions pour une récupération rapide et des résultats durables.



« Je recommande vivement le Dr. Taha Hadad pour son professionnalisme, sa patience et sa grande gentillesse. J'ai récemment subi une extraction de dent de sagesse, une intervention qui peut être source d'angoisse, mais grâce à son calme, ses explications claires et ses gestes précis, tout s'est déroulé dans les meilleures conditions je n'ai ressenti aucune douleur malgré la complexité de l'intervention. Un dentiste à l'écoute, rassurant, et très compétent et une équipe tout autant gentille. Merci encore pour la qualité des soins ! »
« Un grand merci à dr taha el hadad pour son excellent travail et surtout pour la passion et l'amour qu'il met dans ce qu'il fait. On se sent vraiment entre de bonnes mains. Un grand merci également à toute l'équipe, toujours accueillante, bienveillante et souriante, qui rend chaque expérience beaucoup plus agréable et beaucoup moins stressante. »
« Very professional and skilled, top to bottom. Cannot recommend them more highly. Dr. Taha is so thorough and informative, and lets you know every step of the way what's going on so there are no surprises. Very calming, as well. Thanks to Dr. Noha, and the entire team. »
« Je recommande vivement le Dr. Taha Hadad pour son professionnalisme, sa patience et sa grande gentillesse. J'ai récemment subi une extraction de dent de sagesse, une intervention qui peut être source d'angoisse, mais grâce à son calme, ses explications claires et ses gestes précis, tout s'est déroulé dans les meilleures conditions je n'ai ressenti aucune douleur malgré la complexité de l'intervention. Un dentiste à l'écoute, rassurant, et très compétent et une équipe tout autant gentille. Merci encore pour la qualité des soins ! »
Prenez rendez-vous pour votre chirurgie dentaire à Casablanca
Remplissez le formulaire ci-contre et notre équipe vous recontactera dans les plus brefs délais pour planifier votre consultation chirurgicale.
Demander un rendez-vous
Questions fréquentes sur la chirurgie dentaire à Casablanca
Nous réalisons les extractions simples et complexes (dents de sagesse), les greffes osseuses pré-implantaires, les greffes gingivales, les freinectomies, les résections apicales et la chirurgie pré-prothétique.
L'intervention se déroule sous anesthésie locale et est indolore. Des douleurs post-opératoires modérées sont normales pendant 2 à 3 jours et sont facilement gérées par des antalgiques prescrits par votre chirurgien.
La cicatrisation des tissus mous prend généralement 7 à 14 jours. La cicatrisation osseuse complète peut prendre 2 à 4 mois selon le type d'intervention. Votre chirurgien vous donne un calendrier précis.
La greffe osseuse consiste à ajouter de l'os (synthétique ou naturel) dans la mâchoire pour compenser une perte osseuse. Elle est souvent nécessaire avant la pose d'implants dentaires lorsque le volume osseux est insuffisant.
Il est recommandé de signaler tous vos médicaments et antécédents médicaux, de ne pas fumer avant et après l'intervention, et de prévoir un accompagnant le jour de la chirurgie.
Les premiers jours, une alimentation molle et froide est conseillée. Évitez les efforts physiques, le tabac et les boissons chaudes. Suivez scrupuleusement les consignes post-opératoires pour une guérison rapide.